

The second line of defence against infectious disease is the innate immune system, which has two key properties:
It does not differentiate between different types of pathogens (it is non-specific)
It responds to an infection the same way every time (it is non-adaptive)
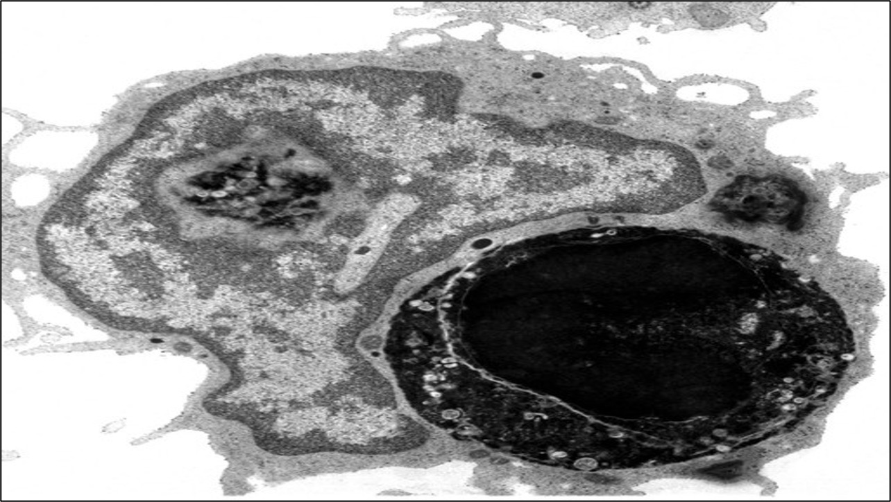
Phagocytosis
A principle component of the innate immune system are phagocytic white blood cells that engulf and digest foreign bodies
Phagocytic leukocytes circulate in the blood and move into the body tissue (extravasation) in response to infection
Damaged tissues release chemicals (e.g. histamine) which draw the phagocytes to the site of infection (via chemotaxis)
Pathogens are engulfed when cellular extensions (pseudopodia) surround the pathogen and then fuse to form an internal vesicle (endocytosis)
The vesicle is then fused to a lysosome (forming a phagolysosome) and the pathogen is digested by enzymes within the lysosome
Pathogen fragments (called antigens) may be presented on the surface of the phagocyte in order to stimulate the third line of defence
These antigen-presenting cells will drain into the lymphatic system and stimulate the production of specific antibodies by lymphocytes
Phagocytosis
